Albert Pilgaard
Med flere års erfaring inden for salg, marketing og kundeservice har jeg opbygget en solid forståelse for, hvad der skal til for at skabe og vedligeholde stærke kunderelationer. Jeg brænder for at levere en førsteklasses kundeoplevelse og arbejder målrettet for at sikre, at kundens behov imødekommes på en effektiv og professionel måde. Jeg er kendt for mit positive mindset, min høje arbejdsmoral og min evne til at finde kreative og holdbare løsninger på selv komplekse udfordringer. Jeg trives i dynamiske og resultatorienterede miljøer, hvor kommunikation, strategi og kundefokus er i centrum, og hvor jeg kan bidrage aktivt til at skabe vækst og værdi.
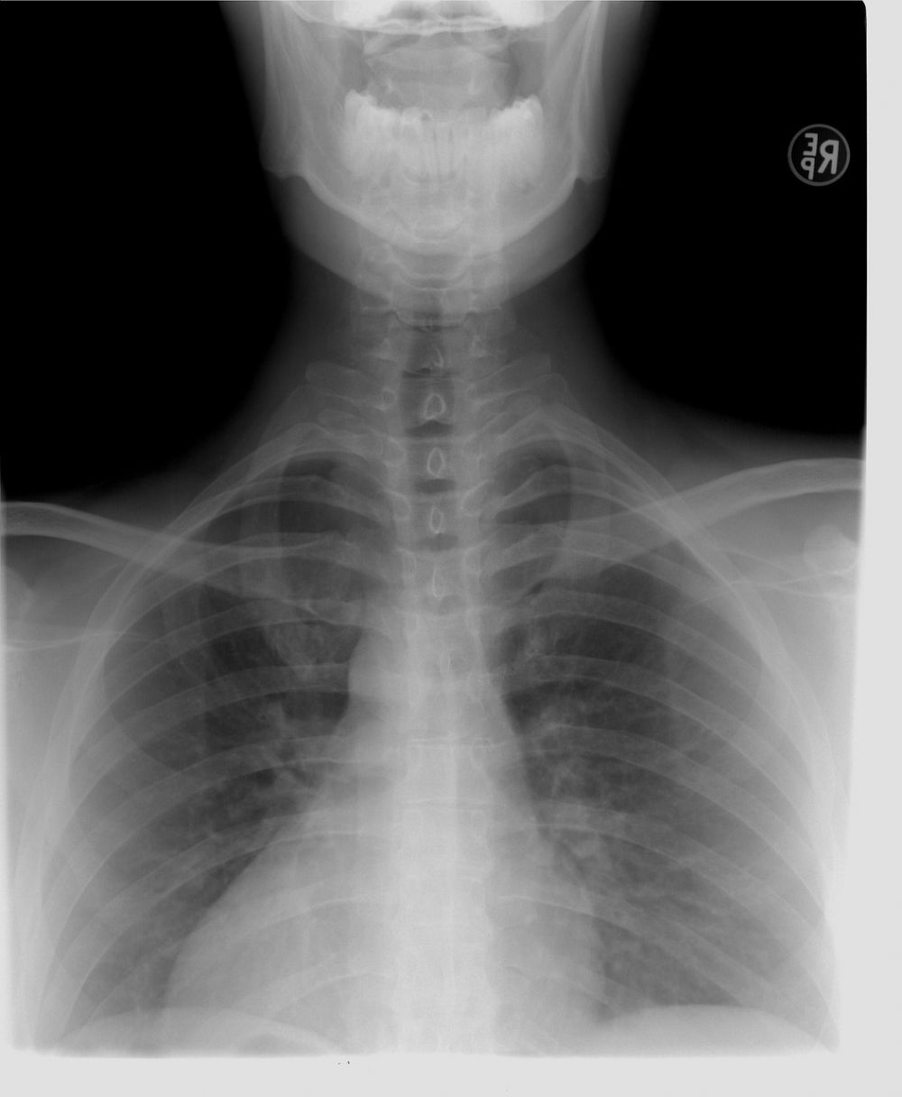
Røntgenundersøgelse sådan foregår den, og det skal du vide
En røntgenundersøgelse er en af de mest brugte metoder i sundhedsvæsenet til at undersøge knogler, lunger og en række andre strukturer i kroppen. Undersøgelsen bruges til at stille diagnose, vurdere skader og følge udviklingen i en sygdom. Mange forb...
Apotek: din lokale indgang til tryghed, rådgivning og sundhed
Et apotek er for mange først og fremmest stedet, hvor man henter sin medicin. Men for stadig flere borgere er apoteket også et sundhedsfagligt knudepunkt, hvor man kan få personlig rådgivning, hjælp til at bruge sin med...
Bevar christiania hoodie mere end bare streetwear
En bevar christiania hoodie er for mange blevet et synligt symbol på støtte til fristaden, fællesskabet og den særlige kultur, som Christiania repræsenterer. Hvor en almindelig hættetrøje mest handler om stil og komfort, rummer en Christiania-inspire...
Elektriker – essentielle tjenester og faglig ekspertise
I nutidens moderne samfund spiller elektrikeren en uundværlig rolle i vores daglige liv. Uanset om det drejer sig om installation af nye elektriske systemer, vedligeholdelse af eksisterende installationer, eller løsning af komplekse elek...
Fodboldrejser til Liverpool: En Oplevelse uden Sidestykke
Når man tænker på fodboldrejser, er Liverpool en destination, der ofte kommer op i samtalen. Byen er hjemsted for to af Englands mest ikoniske fodboldklubber, Liverpool FC og Everton FC, hvilket gør en rejse dertil til en ufo...
Guide til at finde og købe de rigtige bådreservedele
At eje en båd er for mange lig med frihed og eventyr på de åbne vande. Men som alle bådejere ved, kommer denne frihed med et ansvar, især når det drejer sig om vedligeholdelse og reparation af båden. En essentiel del af dette vedligehold er at finde ...
Mad ud af huset: Den ultimative løsning til din næste begivenhed
Når livets store øjeblikke skal fejres, eller når hverdagen kræver en hjælpende hånd, er ‘mad ud af huset’ konceptet, der redder dagen. Uanset om det er en fødselsdagsfest, bryllup, firmaevent eller blot en ønsket pause fra køkkenet, er a...
Sikker og effektiv opladning med ladeboks til elbiler
I takt med at det grønne skifte accelererer, stiger antallet af elbiler på vejene. Med denne stigning følger et voksende behov for pålidelige opladningsløsninger, som både er sikre og effektive. Ladestander til elbiler repræsenterer en væsentlig komp...